Icon® for White Spots
 
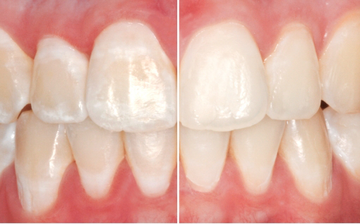
															Erase white spots and enjoy a smooth, even smile—without drilling or injections. White spots on teeth can make you feel self-conscious, even if your smile is otherwise healthy. At Peace Valley Dentistry we offer Icon Resin Infiltration, a breakthrough treatment that removes white spot lesions quickly, comfortably, and with beautiful, natural-looking results.
What Causes White Spots? White spots on enamel can develop for several reasons, including:
- Early signs of tooth decay (demineralization)
- Orthodontic treatment (braces)
- Fluorosis (excess fluoride during tooth development)
- Enamel defects from childhood illness or trauma
While whitening treatments may improve overall brightness, they usually don’t correct these localized white patches. That’s where Icon® comes in.
How Icon Works
Icon is a minimally invasive treatment that uses a liquid resin to penetrate and blend with the tooth’s enamel.
- The tooth surface is gently prepared—no drilling required.
- A special resin infiltrates the porous white spot.
- The resin is hardened and polished, masking the discoloration.
The result: a smoother, more uniform tooth color that blends seamlessly with the rest of your smile.
Benefits of Icon Treatment
- No drilling, no anesthesia
- Quick — usually completed in one visit
- Natural results — restores an even color across the tooth
- Preserves healthy tooth structure
- Long-lasting improvement with proper care
Is Icon Right for You? This treatment is ideal for patients who want to reduce or eliminate white spots without more invasive options like veneers or bonding. We can help you determine whether Icon is the right solution for your smile.
